Porcelain Crowns
Applied Procedures:
Porcelain Crowns
![]() |
![]() |
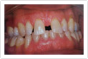
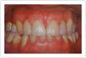
| Before Photo | After Photo |
As you can see from these before and after pictures, porcelain crowns can be used to address gaps in teeth or broken teeth, significantly improving the patient's smile.
Applied Procedures:
Porcelain Crowns
![]() |
![]() |
| Before Photo | After Photo |
As you can see from these before and after pictures, porcelain crowns can also be used to address teeth discoloration and crooked teeth, resulting in a whiter, straighter smile.
![]() |
![]() |
| Before Photo | After Photo |
As you can see from these before and after pictures, porcelain crowns and dental bridges can be used to address broken, discolored and decayed teeth, resulting in a dramatic improvements in the patient's smile.








