Teeth Whitening
![]() |
![]() |
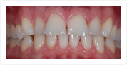
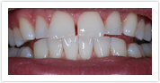
| Before Photo | After Photo |
As these before and after pictures show, teeth whitening (bleaching of teeth) and dental veneers can be extremely effective in addressing stained and discolored teeth.
Applied Procedures:
Teeth Whitening
![]() |
![]() |
| Before Photo | After Photo |
Applied Procedures:
Teeth Whitening
![]() |
![]() |
| Before Photo | After Photo |








